Không phải trường hợp nào bọc răng sứ cũng cần lấy tủy. Việc có cần thiết phải lấy tủy bọc răng sứ không còn tùy thuộc tình trạng răng miệng mỗi người. Trường hợp răng sâu, viêm tủy nặng thường được chỉ định lấy tủy bọc sứ để mang lại vẻ đẹp thẩm mỹ và bảo tồn cấu trúc răng thật.

1. Bọc răng sứ có lấy tủy không?
Bọc răng sứ không phải trường hợp nào cũng cần lấy tủy mà còn phụ thuộc vào tình trạng răng miệng từng người. Tủy răng là bộ phận quan trọng và nằm sâu bên trong răng chứa các mạch máu, dây thần kinh và mô liên kết của răng. Quá trình lấy tủy răng chỉ được chỉ định trong một số trường hợp đặc biệt.

2.1. Bọc răng sứ lấy tủy răng khi răng bị sâu nặng
Bác sĩ sẽ chỉ định bọc răng sứ khi răng bị sâu quá nặng, vi khuẩn sẽ xâm nhập vào bên trong tủy răng làm tủy bị viêm và phá hủy cấu trúc răng. Trường hợp men răng chưa hưn hại nhiều thì bác sĩ sẽ ưu tiên trám răng trước.

2.2. Bọc răng sứ lấy tủy răng khi răng bị hô, lệch lạc nặng
Răng hô hoặc lệch lạc nặng gây khó khăn trong việc bọc sứ do độ nghiêng của răng quá lớn. Việc mài răng bọc sứ ở những răng này có nguy cơ cao xâm phạm đến buồng tủy nên để ngăn chặn các biến chứng tiềm ẩn như viêm nhiễm tủy, bác sĩ sẽ tiến hành lấy tủy răng trước khi bọc sứ.

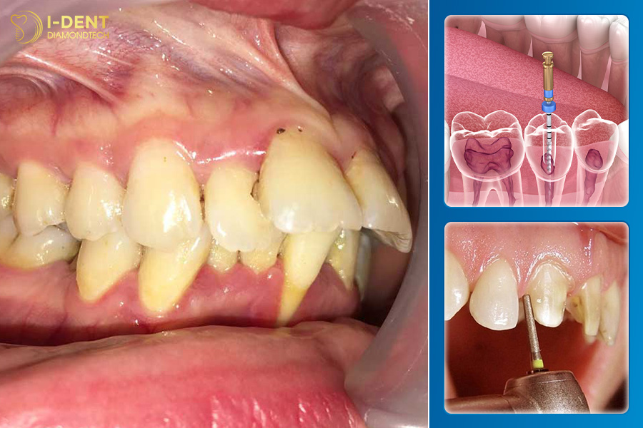
Quy trình điều trị tủy răng.
2. Trường hợp bọc sứ không cần lấy tủy
Trường hợp khách hàng chỉ muốn cải thiện các khiếm khuyết của răng như răng thưa , lệch lạc, mẻ vỡ, xỉn màu… thì bác sĩ sẽ tiến hành mài răng và bọc sứ mà không cần phải lấy tủy răng.
Sau khi thăm khám kỹ càng bác sĩ sẽ chỉ định có nên lấy tủy hay không và sẽ luôn ưu tiên các phương pháp bảo toàn mô răng thật cũng như hạn chế tối đa việc lấy tủy răng.

3. Lấy tủy khi bọc sứ có ảnh hưởng gì không?
Mục đích lấy tủy răng là để vét sạch lỗ sâu, loại bỏ vi khuẩn, hạn chế vi khuẩn tái phát. Chỉ sau khi lấy tủy và điều trị dứt điểm bệnh lý thì mới thực hiện bọc răng sứ được. Răng sau khi lấy tủy sẽ yếu ớt hơn, dễ bị tổn thương và lung lay nên bọc răng sứ sau đó sẽ giúp bảo vệ chân răng tốt hơn.
4. Lấy tủy bọc răng sứ có đau không?
Lấy tủy trước khi bọc răng sứ hoàn toàn không bị đau do trong quá trình lấy tủy các bác sĩ sẽ gây tê cục bộ phần răng cần lấy giúp bệnh nhân cảm thấy thoải mái trong suốt quá trình điều trị. Sau khi hết thuốc tê, bệnh nhân sẽ thấy hơi đau nhẹ và có thể kiểm soát bằng thuốc giảm đau theo chỉ định của nha sĩ.

5. Lợi ích bọc răng bọc sứ sau khi lấy tuỷ là gì?
Bọc sứ sau khi lấy tủy mang lại một số lợi ích sau:
- Bảo vệ tuyệt đối mô răng thật: Răng sau khi lấy tủy sẽ dễ lung lay, vỡ, gãy hơn. Bọc sứ sẽ là giải pháp giúp răng vững chắc và chịu lực nhai tốt hơn, giúp răng không bị nhạy cảm bởi đồ ăn nóng, lạnh.
- Đảm bảo tính thẩm mỹ của răng: Răng sứ được chế tác từ vật liệu sứ cao cấp, có hình dáng và màu sắc tương đồng với các răng thật. Điều này đảm bảo sau khi phục hình, răng sứ sẽ trông tự nhiên, mang lại vẻ thẩm mỹ hài hòa cho nụ cười.
- Ngăn ngừa sâu răng: Mão răng sứ đóng vai trò như một lớp bảo vệ vững chắc cho phần răng thật còn lại. Lớp sứ này ngăn chặn hiệu quả sự tấn công của vi khuẩn, từ đó giảm thiểu nguy cơ sâu răng tái phát.

6. Những câu hỏi thường gặp
6.1. Có nên bọc răng sứ sau khi lấy tủy?
Nên bọc răng sứ sau khi lấy tủy răng để bảo vệ và duy trì răng. Sau khi lấy tủy, răng trở nên yếu hơn và dễ bị tổn thương, gãy vỡ. Bọc răng sứ sẽ giúp bảo vệ răng, ngăn ngừa các vấn đề như sâu răng, viêm nướu và giữ cho răng chắc khỏe hơn.
6.2. Răng lấy tủy không bọc sứ có sao không?
Răng lấy tủy không bọc sứ sẽ trở nên bị yếu, dễ gãy vỡ, đổi màu, khó vệ sinh và dẫn đến các vấn đề răng miệng khác. Bọc sứ sau khi lấy tủy giúp bảo vệ răng, tăng cường chức năng ăn nhai và duy trì thẩm mỹ.
Lấy tủy răng là điều mà không ai mong muốn. Điều này sẽ khiến răng trở nên yếu hơn. Do đó, răng sau khi lấy tủy là một trong những trường hợp nên bọc răng sứ để bảo vệ răng thật và duy trì chức năng nhai tốt hơn. Hy vọng với những giải đáp trên đây đã giúp bạn có câu trả lời cho câu hỏi bọc răng sứ có cần lấy tủy không. Để tránh phải lấy tủy răng khi bọc sứ, gây ảnh hưởng đến răng miệng, bạn hãy khám bác sĩ sớm khi có dấu hiệu bất thường như sâu hay đau nhức.