Răng khấp khểnh có thể bọc sứ được nhưng không phải trường hợp nào cũng phù hợp. Bọc răng sứ là phương pháp tối ưu nhất để có được hàm răng đều đẹp và cải thiện tình trạng răng khấp khểnh. Tuy nhiên nếu răng khấp khểnh nặng thì bọc sứ không phải lựa chọn tối ưu nhất.

1. Răng khấp khểnh là gì?
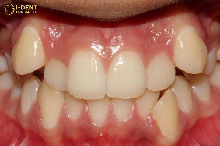
Răng khấp khểnh là tình trạng răng mọc lộn xộn, chen chúc ở vị trí răng cửa hoặc các răng khác nằm ở hàm trên hoặc hàm dưới. Răng khấp khểnh sẽ mọc đưa ra ngoài hoặc lệch vào bên trong làm ảnh hưởng đến chức năng ăn nhai và thẩm mỹ của gương mặt.

2. Nguyên nhân gây ra tình trạng răng khấp khểnh
Tình trạng răng mọc khấp khểnh xảy ra do 5 nguyên nhân chính
2.1. Yếu tố di truyền
ADN của ông bà, ba mẹ có mối liên hệ mật thiết đến tình trạng sức khỏe răng miệng của con cháu. Nếu cha mẹ hoặc ông bà có răng mọc lệch lạc thì khả năng cao con cháu cũng gặp tình trạng này.
2.2. Mất răng sữa quá sớm
Việc mất răng sữa quá sớm làm cản trở quá trình phát triển của răng vĩnh viễn khiến răng không xác định được hướng để mọc đúng vị trí dẫn tới mọc lệch hoặc mọc nghiêng.
2.3. Thói quen xấu
Các thói quen mút tay, đẩy lưỡi, chống cằm hay thở bằng miệng trong giai đoạn răng phát triển hay thay răng cũng có thể khiến răng mọc khấp khểnh, lộn xộn.
2.4. Thiếu không gian mọc răng
Người có cung hàm nhỏ không có đủ chỗ trống cho răng xếp dàn đều dẫn đến răng mọc lộn xộn, chen chúc và lệch lạc.
2.5. Nguyên nhân khác
Khi mất răng vĩnh viễn hoặc thiếu răng bẩm sinh sẽ tạo ra khoảng trống trên cung hàm khiến các răng bên cạnh có xu hướng nghiêng hoặc xô lệch về phía khoảng trống gây ra tình trạng răng khấp khểnh.
3. Răng khấp khểnh có bọc sứ được không?
Răng khấp khểnh có thể bọc sứ được nhưng không phải trường hợp nào cũng phù hợp. Trường hợp răng khấp khểnh nhẹ, không ảnh hưởng đến khớp cắn thì bọc sứ là lựa chọn tốt giúp cải thiện thẩm mỹ. Tuy nhiên nếu tình trạng răng khấp khểnh nặng thì bọc sứ không phải là lựa chọn tốt nhất.

4. Ưu điểm và nhược điểm khi bọc răng sứ cho răng khấp khểnh
Việc bọc răng sứ cho răng khấp khểnh mang lại một số ưu điểm và nhược điểm sau:
4.1. Ưu điểm
- Cải thiện rõ rệt về thẩm mỹ, răng trở đều đẹp, trắng sáng hơn, che được khuyết điểm như lệch nhẹ, sẫm màu, mẻ hoặc hình dáng không đều.
- Thời gian điều trị nhanh và mang lại kết quả tốt.
- Khớp cắn trở nên cân đối và hỗ trợ ăn nhai tốt hơn.
4.2. Nhược điểm
- Chi phí điều trị cao.
- Bọc răng sứ không can thiệp vào chân răng mà chỉ điều chỉnh phần thân răng phía trên và bề mặt răng.
- Phương pháp bọc răng sứ yêu cầu mài lớp men răng đẻ tạo cùi răng gây tổn hại đến răng thật.

5. Bọc răng sứ cho răng khấp khểnh giá bao nhiêu?
Bọc răng sứ cho răng khấp khểnh có giá từ 1.000.000 – 14.000.000 VNĐ/răng tùy vào loại răng sứ, chất liệu, nha khoa và tình trạng răng miệng mỗi người. Trong đó, răng sứ kim loại có giá rẻ từ 1.000.000 – 3.500.000 VNĐ/răng và răng toàn sứ có giá cao hơn từ 4.500.000 – 14.000.000 VNĐ/răng.
6. Cách chăm sóc răng khấp khểnh bọc sứ
Một số lưu ý về cách chăm sóc sau khi bọc răng sứ cho răng khểnh:
- Chải răng đúng cách 2–3 lần mỗi ngày bằng bàn chải lông mềm.
- Kết hợp sử dụng chỉ nha khoa, máy tăm nước và nước súc miệng sau khi đánh răng để loại bỏ mảng bám còn sót lại ở các kẽ răng.
- Thay bàn chải định kỳ mỗi 1–2 tháng để tránh vi khuẩn tích tụ gây ảnh hưởng đến răng và nướu.
- Massage nướu nhẹ nhàng bằng đầu ngón tay trỏ theo chuyển động tròn giúp kích thích lưu thông máu và tăng cường sức khỏe quanh viền nướu.
- Hạn chế tiêu thụ thực phẩm có màu đậm, quá cứng hoặc quá dai như cà ri, trà đậm, nước ngọt có ga, kẹo cứng… để bảo vệ lớp sứ không bị nhiễm màu hay nứt vỡ.
- Thăm khám nha khoa định kỳ 6 tháng/lần để lấy cao răng, kiểm tra tình trạng răng sứ và phát hiện sớm các vấn đề răng miệng (nếu có).
7. Câu hỏi thường gặp
7.1. Răng khấp khểnh có nên bọc sứ?
Răng khấp khểnh nên bọc răng sứ nhưng không phải trường hợp nào cũng thích hợp. Nếu răng khấp khểnh nhẹ và không ảnh hưởng nhiều đến khớp cắn, bọc răng sứ sẽ giúp cải thiện thẩm mỹ. Còn nếu răng khấp khểnh nghiêm trọng, sai lệch khớp cắn thì niềng răng sẽ là giải pháp khắc phục tối ưu hơn.
7.2. Răng khấp khểnh nhiều có bọc sứ được không?
Răng khấp khểnh nhiều hoàn toàn có thể bọc sứ nhưng còn phụ thuộc vào mức độ khấp khểnh và tình trạng răng miệng tổng thể. Nếu răng khấp khểnh ở mức độ nhẹ, không ảnh hưởng nhiều đến khớp cắn thì bọc sứ là giải pháp hiệu quả. Trường hợp răng khấp khểnh nghiêm trọng và ảnh hưởng đến khớp cắn thì niềng răng có thể là lựa chọn tốt hơn.

Tóm lại, răng khấp khểnh có thể bọc răng sứ nhưng chỉ áp dụng đối với trường hợp răng khấp khểnh mức độ nhẹ hoặc chỉ lệch nhẹ một vài răng. Bọc răng sứ sẽ giúp khắc phục các khuyết điểm, cải thiện chức năng ăn nhai nhanh chóng. Ngoài ra, để biết chính xác tình trạng răng của bạn có thể bọc sứ được hay không, bạn nên đến trực tiếp các nha khoa để được bác sĩ thăm khám, chụp phim và tư vấn cụ thể.