Bọc răng sứ có thể tháo ra được nhưng cần thực hiện bởi bác sĩ có chuyên môn cao và sử dụng các dụng cụ chuyên dụng hiện đại để đảm bảo quá trình bọc răng sứ an toàn và làm tổn thương răng thật.

1. Bọc răng sứ có tháo ra được không?
Bọc răng sứ có thể tháo ra được nhưng cần được chỉ định và thực hiện bởi bác sĩ nha khoa có chuyên môn cao. Quá trình tháo răng sứ cần thực hiện cẩn thận dưới sự hỗ trợ của các dụng cụ chuyên dụng để quá trình tháo mão sứ không xảy ra sai sót, tránh làm tổn thương răng thật và các mô xung quanh.
Bọc răng sứ là kỹ thuật nha khoa phổ biến hàng đầu hiện nay thường được áp dụng cho các trường hợp răng sâu, vỡ, mẻ hoặc muốn tăng tính thẩm mỹ.
Trước khi bọc sứ bác sĩ sẽ tiến hành mài đi 1 phần men răng của răng khiếm khuyết và gắn cố định mão sứ lên trên nhằm tái tạo hình dáng cũng như màu răng như ý muốn. Sau khi làm sứ vẫn đảm bảo tốt chức năng ăn nhai.
Tuy nhiên vì răng sứ có khả năng gặp vấn đề do một vài nguyên nhân sau khi thực hiện như đau nhức, kém thẩm mỹ thì cần tháo ra để điều trị và bọc lại răng sứ mới.

2. Khi nào cần tháo răng sứ?
Tháo răng sứ nên thực hiện trong những trường hợp sau:
- Răng sứ bị nứt, vỡ nặng: Sử dụng răng sứ kém chất lượng hoặc thường xuyên dùng răng cắn, xé món ăn quá dai, quá cứng dẫn đến tình trạng răng sứ bị nứt, vỡ ra từng mảnh và không thể giữ lại.
- Răng đau nhức kéo dài: Mài răng quá nhiều gây xâm lấn cấu trúc răng làm cảm giác đau nhức xuất hiện kéo dài dẫn đến nguy cơ răng bọc sứ bị viêm tủy và bắt buộc phải tháo mão sứ để điều trị.
- Hôi miệng: Vệ sinh răng miệng không kỹ hoặc phòng labo chế tác răng sứ sai kỹ thuật khiến mão răng sứ không khớp với cùi răng tạo ra các khe hở khiến vi khuẩn tích tụ và gây nên mùi hôi khó chịu.
- Dị ứng chất liệu sứ: Trường hợp này hiếm gặp khi bệnh nhân không thích ứng được với răng sứ kim loại nên bác sĩ sẽ chỉ định tháo răng sứ và thay loại răng sứ mới phù hợp hơn.
- Đen viền nướu: Răng sứ kim loại khi tiếp xức với nước bọt cùng các chất trong khoang miệng tạo hiện tượng oxy hóa làm viền nướu bị thâm đen và ảnh hưởng đến tính thẩm mỹ.
- Răng sứ bị hở, cong vênh: Trường hợp này thường gặp khi có sai sót trong quy trình bọc sứ như mài cùi răng, lấy dấu hàm, chế tác hay gắn răng sứ.

Bọc lại răng sứ để giữ vững nụ cười tự nhiên.
3. Quy trình tháo răng sứ được thực hiện thế nào?
Quy trình tháo răng sứ và bọc lại răng sứ lần 2 được thực hiện theo 5 bước:
- Bước 1: Thăm khám và tư vấn
Thăm khám và kiểm tra tình trạng răng sứ cần tháo, vệ sinh răng miệng để vô khuẩn và tiến hành gây tê cho bệnh nhân.
- Bước 2: Vệ sinh và gây tê
Khoang miệng sẽ được làm sạch và bác sĩ tiến hành gây tê tại vùng cần điều trị để giảm cảm giác khó chịu cho bệnh nhân.
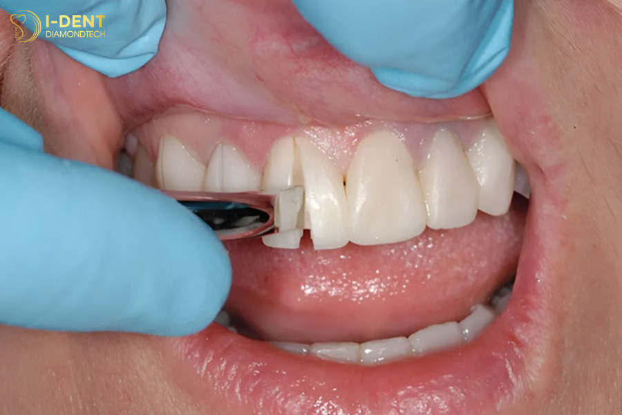
- Bước 3: Tháo răng sứ:
Có hai phương pháp chính để tháo răng sứ:
-
- Cắt nhỏ mão sứ: Bác sĩ cắt mão sứ thành nhiều mảnh nhỏ rồi tháo ra theo trình tự để tránh làm tổn thương đến cùi răng thật.
- Mài dọc thân răng sứ: Bác sĩ mài dọc phần mão răng sứ cho tới khi lộ lớp sườn để tiến hành tháo gỡ mão sứ không bị vướng vào các răng kế cận.
- Bước 4: Lấy dấu răng
Sau khi tách mão sứ với cùi răng bác sĩ sẽ tiến hành lấy dấu răng để thực hiện chế tác răng sứ mới.
- Bước 5: Lắp răng sứ mới
Tiến hành lắp lại mão sứ hoàn chỉnh để khôi phục tính thẩm mỹ và chức năng ăn nhai của răng.

4. Răng sứ tháo ra lắp lại có được không?
Răng sứ tháp ra không thể lắp lại được vì quá trình tháo gỡ có thể làm biến dạng, nứt vỡ và mất độ chính xác của răng sứ với cùi răng. Sau khi tháo bác sĩ sẽ tiến hành lấy dấu răng và chế tác mão răng sứ mới phù hợp với cấu trúc răng và tình hình sức khỏe răng miệng để đảm bảo sức khỏe cho bệnh nhân.
Răng sứ sau khi gắn vào cùi răng có độ chắc chắn rất cao nên không thể tháo ra theo cách thông thường mà cần đến nha khoa thực hiện. Bác sĩ sẽ cắt gỡ từng phần mão răng sứ để tránh làm thân răng bị gãy nên răng sứ sau khi tháo sẽ không còn nguyên vẹn để lắp lại như ban đầu. Vì vậy sau khi tháo răng sứ, tùy vào sức khỏe của cùi răng mà bác sĩ sẽ chỉ định phương án phục hình răng sứ phù hợp.
5. Tháo răng sứ làm lại có đau không?
Tháo răng sứ làm lại không gây đau nhức cho người thực hiện bởi bệnh nhân sẽ được tiêm thuốc tê và không cần mài thêm răng thật. Tuy nhiên để bọc lại răng sứ đảm bảo tính thẩm mỹ cao, hiệu quả và an toàn hơn thì nên tìm hiểu kỹ lưỡng và lựa chọn nha khoa uy tín có đội ngũ bác sĩ tay nghề cao và trang thiết bị hiện đại.

6. Câu hỏi thường gặp
6.1. Tháo răng sứ mất bao lâu?
Tháo răng sứ thường diễn ra nhanh chóng và chỉ mất khoảng 15 – 30 phút cho mỗi răng. Thời gian tháo răng sứ có thể thay đổi tùy thuộc vào tình trạng răng miệng cụ thể và tay nghề của bác sĩ.
6.2. Tháo răng sứ bằng cách nào?
Để tháo răng sứ bác sĩ sẽ sử dụng các kỹ thuật chuyên dụng như cắt mão răng sứ thành nhiều mảnh nhỏ rồi tháo ra theo trình tự để tránh làm tổn thương đến cùi răng sinh lý hoặc mài nhỏ thân răng sứ theo chiều dọc đến khi lộ sườn mão sứ để khi tháo ra không bị vướng vào các răng lân cận.
6.3. Dán răng sứ có tháo ra được không?
Dán răng sứ có thể tháo ra được nhưng cần được thực hiện bởi bác sĩ có chuyên môn cao và có sự hỗ trợ của các dụng cụ chuyên dụng nhằm tránh tổn thương răng thật và các mô xung quanh.
Hy vọng qua bài viết trên, bạn đã biết được bọc răng sứ có tháo ra được không. Việc tháo răng sứ đòi hỏi bác sĩ phải có tay nghề cao và thực hiện cẩn thận để đảm bảo không xảy ra sai sót và làm tổn thương các răng lân cận.