Bọc răng sứ hàm trên là giải pháp thẩm mỹ nha khoa giúp phục hình răng bị tổn thương hoặc không đều bằng cách mài mỏng răng thật và sau đó gắn mão sứ lên trên. Bọc sứ hàm trên thường được thực hiện trong các trường hợp sau: Răng hàm trên khấp khểnh, lệch lạc gây lệch khớp cắn, ảnh hưởng thẩm mỹ…

1. Trường hợp nên bọc răng sứ hàm trên
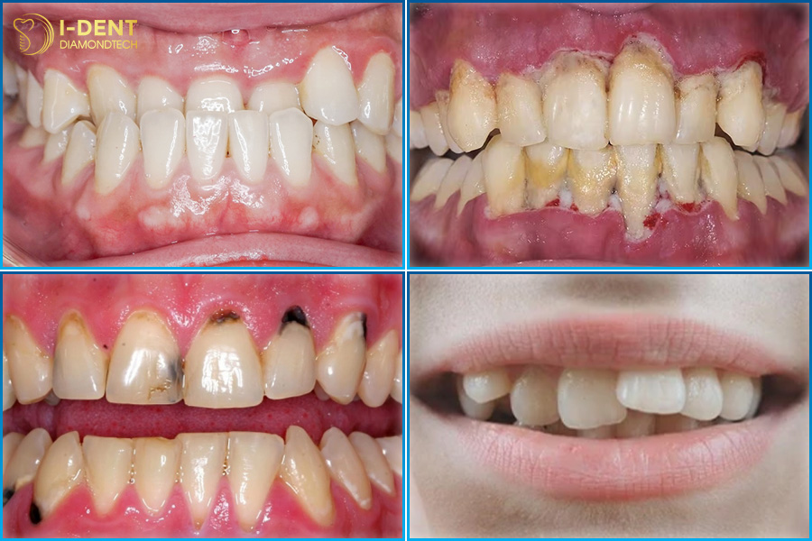
Những trường hợp bác sĩ khuyến khích nên bọc răng sứ cho răng hàm để khôi phục khả năng ăn nhai và tính thẩm mỹ:
- Răng hàm trên mọc lệch, chen chúc gây mất cân đối khớp cắn và ảnh hưởng đến nụ cười.
- Răng hàm trên bị đốm đen, bị xỉn màu nặng do nhiễm kháng sinh mà các phương pháp tẩy trắng không mang lại hiệu quả.
- Răng hàm trên mắc phải bệnh lý răng miệng dẫn đến hư hỏng cấu trúc men răng nặng cần bọc sứ để bảo vệ răng thật.
- Răng hàm trên bị móm nhẹ nhưng có chân răng yếu, không phù hợp để niềng răng nên lựa chọn bọc sứ để cải thiện.

2. Lợi ích khi làm răng sứ hàm trên
Bọc sứ hàm trên là phương pháp thẩm mỹ nha khoa mang đến nhiều lợi ích cho người thực hiện:
- Cải thiện thẩm mỹ nụ cười: Răng hàm trên dễ lộ khi cười nói, nếu răng lệch lạc, xỉn màu sẽ ảnh hưởng đến sự tự tin. Lúc này, bọc sứ sẽ giúp hàm răng thẩm mỹ hơn vì răng hàm trên nổi bật hơn so với răng hàm dưới.
- Khôi phục chức năng ăn nhai: Răng hàm trên bị tổn thương cấu trúc men răng có thể làm giảm khả năng nhai. Bọc sứ giúp cải thiện chức năng ăn nhai, giúp ăn uống thoải mái và tự tin hơn.
- Điều trị bệnh lý răng miệng: Bọc sứ giúp bảo vệ răng hàm trên khỏi bị sâu, mòn men răng, mòn cổ chân răng. Nếu không điều trị kịp thời các vấn đề này có thể dẫn đến mất răng vĩnh viễn.

3. Bọc răng sứ hàm trên bao nhiêu tiền
Giá bọc răng sứ hàm trên dao động từ 16.000.000 đến 224.000.000 VNĐ/hàm (16 răng). Trong đó, bọc răng sứ kim loại sẽ có giá dao động từ 1.000.000 – 3.500.000 VNĐ/răng, răng sứ toàn sứ từ 4.500.000 – 6.500.000 VNĐ.răng và răng toàn sứ cao cấp từ 8.000.000 – 14.000.000 VNĐ/răng.
4. Những lưu ý quan trọng khi bọc sứ hàm trên
4.1. Răng hàm trên nên bọc răng sứ loại nào?
Hiện nay trên thị trường có hai dòng răng sứ là răng sứ kim loại và răng toàn sứ. Răng sứ kim loại dễ bị ánh đen sau một thời gian sử dụng nên không thích hợp để bọc răng sứ hàm trên. Răng toàn sứ cấu tạo từ 100% phôi sứ nguyên chất đảm bảo độ bền chắc và tính thẩm mỹ cao nên thích hợp để làm sứ hàm trên.
Trên thị trường hiện nay có các thương hiệu răng toàn sứ nổi bật: DDBio, Cercon HT, Nacera,… Mỗi loại có những ưu và nhược điểm riêng và tùy thuộc vào nhu cầu và điều kiện của mỗi người.

4.2. Tuổi thọ của răng sứ được bao lâu?
Tuổi thọ răng sứ kim loại có thể duy trì từ 5-10 năm, trong khi răng toàn sứ có thể kéo dài từ 15-20 năm, thậm chí có thể lâu hơn nếu được chăm sóc tốt. Tuy nhiên tuổi thọ của răng sứ còn phụ thuộc vào cách chăm sóc và thói quen ăn uống.
Ngoài ra để biết chính xác tuổi thọ của răng sứ bạn có thể dựa vào thời gian bảo hành răng sứ hoặc hỏi trực tiếp bác sĩ nha khoa.

4.3. Chọn địa chỉ bọc sứ hàm trên uy tín
Việc chọn địa chỉ bọc răng sứ uy tín sẽ giúp ca phục hình răng sứ hàm trên đạt kết quả tốt và tránh được các biến chứng. Nha khoa I-Dent DiamondTech tự hào là địa chỉ làm răng sứ hàm trên uy tín, an toàn bởi sở hữu những tiêu chí nổi bật sau:
- Nha khoa đã thực hiện thành công hơn 10.000 ca bọc răng sứ, từ các ca đơn giản đến phức tạp và bao gồm cả bọc răng sứ hàm trên.
- Đội ngũ bác sĩ CKI, CKII hơn 10 năm kinh nghiệm trong lĩnh vực thẩm mỹ răng sứ
- Nha khoa có thiết bị CT Cone Beam, máy Scan răng Itero Lumina hiện đại nhất thế giới, công nghệ CAD /CAM,… giúp quá trình bọc sứ diễn ra nhanh chóng và hiệu quả.
- Vật liệu răng sứ đều được nhập khẩu chính hãng và có đầy đủ thẻ bảo hành nên đảm bảo sự an tâm cho khách hàng khi sử dụng.
Bọc răng sứ không đau tại nha khoa I-Dent DiamondTech.
Tóm lại, bọc răng sứ hàm trên là phương pháp hiệu quả để khôi phục lại tính thẩm mỹ và khả năng ăn nhai của răng hàm trên. Nếu bạn có ý định thực hiện phương pháp này, hãy chọn nha khoa uy tín khi thực hiện để đảm bảo an toàn và đạt được kết quả tốt nhất.